NightLase® Fotona : un traitement laser contre le ronflement
Qu’est-ce que le NightLase® ?
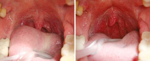
Le NightLase® de Fotona est une technique médicale douce et non invasive qui permet de réduire le ronflement et d’améliorer la qualité du sommeil.
Grâce à l’action du laser Er:YAG en mode SMOOTH®, le traitement stimule le collagène et entraîne une rétraction des tissus du voile du palais et de l’oropharynx, responsables de l’obstruction partielle des voies respiratoires.
– Résultat : un passage de l’air facilité, une réduction significative du ronflement et une meilleure respiration nocturne.
Comment fonctionne le NightLase® ?
Le protocole se déroule en plusieurs séances et repose sur trois étapes :
1. Chauffe douce des tissus : le laser délivre une énergie contrôlée pour stimuler le collagène.
2. Raffermissement progressif : les tissus relâchés se rétractent, réduisant ainsi les vibrationsresponsables du ronflement.
3. Amélioration continue : la néocollagénèse se poursuit dans les semaines qui suivent, optimisant le résultat.
Le traitement est indolore, rapide et ne nécessite ni anesthésie ni éviction sociale.
Les avantages du NightLase®
Réduction du ronflement dès les premières séances.
Amélioration de la qualité du sommeil pour le patient et son entourage.
Non invasif et sans chirurgie.
Aucune anesthésie ni médication.
Pas d’éviction sociale : reprise immédiate des activités.
Procédure confortable et bien tolérée.
Le NightLase® de Fotona est une technique médicale douce et non invasive qui permet de réduire le ronflement et d’améliorer la qualité du sommeil.
Grâce à l’action du laser Er:YAG en mode SMOOTH®, le traitement stimule le collagène et entraîne une rétraction des tissus du voile du palais et de l’oropharynx, responsables de l’obstruction partielle des voies respiratoires.
– Résultat : un passage de l’air facilité, une réduction significative du ronflement et une meilleure respiration nocturne.
Comment fonctionne le NightLase® ?
Le protocole se déroule en plusieurs séances et repose sur trois étapes :
1. Chauffe douce des tissus : le laser délivre une énergie contrôlée pour stimuler le collagène.
2. Raffermissement progressif : les tissus relâchés se rétractent, réduisant ainsi les vibrationsresponsables du ronflement.
3. Amélioration continue : la néocollagénèse se poursuit dans les semaines qui suivent, optimisant le résultat.
Le traitement est indolore, rapide et ne nécessite ni anesthésie ni éviction sociale.
Les avantages du NightLase®
Réduction du ronflement dès les premières séances.
Amélioration de la qualité du sommeil pour le patient et son entourage.
Non invasif et sans chirurgie.
Aucune anesthésie ni médication.
Pas d’éviction sociale : reprise immédiate des activités.
Procédure confortable et bien tolérée.
lire plus
Pour qui est indiqué le NightLase® ?
Le traitement s’adresse aux personnes souffrant de :
Ronflements gênants,
Apnée légère du sommeil,
Relâchement des tissus mous du voile du palais et de la gorge.
⚠️ En cas d’apnée sévère, un bilan spécialisé au cabinet est indispensable avant toute prise en
charge.
Déroulement d’un traitement
Une séance dure environ 20 à 30 minutes.
Le protocole complet comprend en moyenne 3 à 4 séances, espacées de quelques semaines.
Les résultats s’installent progressivement et peuvent être maintenus par une séance
annuelle d’entretien.
FAQ – NightLase® Fotona
– Est-ce douloureux ?
Non, le traitement est très bien toléré. Les patients ressentent une sensation de chaleur, mais pas de douleur.
– Quand voit-on les résultats ?
Une amélioration peut être constatée dès les premières séances, avec un effet optimal après le
protocole complet.
– Est-ce définitif ?
Le relâchement des tissus étant lié au vieillissement naturel, des séances d’entretien peuvent être
nécessaires pour maintenir les résultats.
– Y a-t-il des contre-indications ?
Oui : grossesse, pathologies ORL évolutives, apnée sévère non explorée.
Le traitement s’adresse aux personnes souffrant de :
Ronflements gênants,
Apnée légère du sommeil,
Relâchement des tissus mous du voile du palais et de la gorge.
⚠️ En cas d’apnée sévère, un bilan spécialisé au cabinet est indispensable avant toute prise en
charge.
Déroulement d’un traitement
Une séance dure environ 20 à 30 minutes.
Le protocole complet comprend en moyenne 3 à 4 séances, espacées de quelques semaines.
Les résultats s’installent progressivement et peuvent être maintenus par une séance
annuelle d’entretien.
FAQ – NightLase® Fotona
– Est-ce douloureux ?
Non, le traitement est très bien toléré. Les patients ressentent une sensation de chaleur, mais pas de douleur.
– Quand voit-on les résultats ?
Une amélioration peut être constatée dès les premières séances, avec un effet optimal après le
protocole complet.
– Est-ce définitif ?
Le relâchement des tissus étant lié au vieillissement naturel, des séances d’entretien peuvent être
nécessaires pour maintenir les résultats.
– Y a-t-il des contre-indications ?
Oui : grossesse, pathologies ORL évolutives, apnée sévère non explorée.
